Annals of Urologic Oncology (AUO, Ann Urol Oncol, p-ISSN: 2617-7765, e-ISSN: 2617-7773) is a peer-reviewed, international scientific journal committed to disseminating high-caliber research in the field of urologic oncology. The journal publishes original research addressing the molecular, cellular and clinical aspects of urologic tumors. The journal’s scope encompasses studies on risk assessment, cellular and molecular characterization, prevention, detection, diagnosis, and treatment strategies aimed at improving patient outcomes in urologic oncology. The journal primarily focusses on three subjects: bladder, prostate and kidney cancer. Additionally, studies on adrenal tumors, testicular cancer, and carcinoma of the penis are also welcomed.
Indexing Google Scholar, ResearchGate, DOAJ
Current Issue Volume 8 Issue 2, 2025 >>
Editorial board
Editors-in-Chief:
Sanjay Gupta, Ph.D.----------Case Western Reserve University & UH Cleveland Medical Center, Cleveland, OH, USA.
Jae Y. Ro, Ph.D.---------------Houston Methodist Hospital and Weill Medical College of Cornell University, Houston, TX, USA. More >>
Bladder cancer is a significant global health challenge. Despite advances in surgery and platinum-based chemotherapy over the decades, limited improve ...
Shahd Mustafa Ibrahim, Ahmed Attia Ahmed Abdelmoaty, Ahmed Helmy Abdelhaseb
REVIEW | 24 Oct 2025
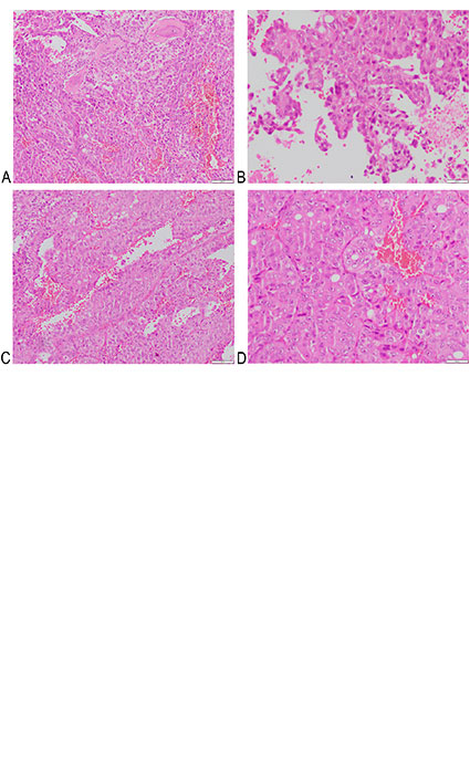
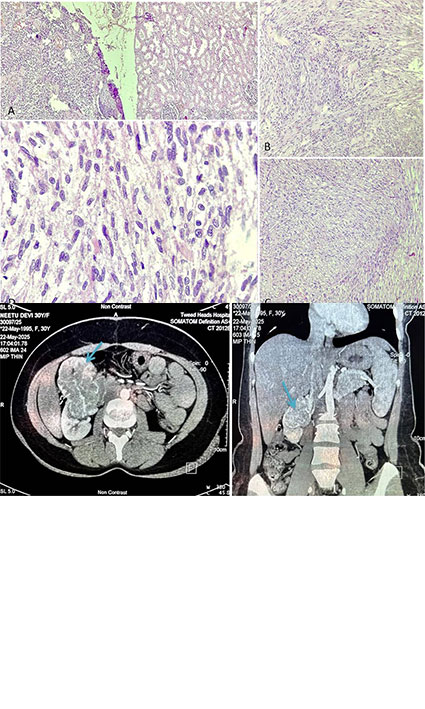
Background Primary renal leiomyosarcoma (LMS) is an exceptionally rare malignant mesenchymal tumor, constituting <1.5% of all primary renal malignanci ...
Rashi Maheshwari, Shikhar Chohan ... Sufian Zaheer
CASE REPORT | 23 Sep 2025
Primary bladder adenocarcinoma (PBA) is a rare malignancy comprising of only 0.5–2% of all bladder cancers and typically presents with nonspecific uri ...
Sonali Kar, Neeta Verma, Suren Kumar Das
CASE REPORT | 15 Sep 2025
Renal cancer (RC) ranks tenth among the most frequently diagnosed cancers and affects both men and women worldwide. This disease is a significant glob ...
Darragh Walsh, Callum Hayes
REVIEW | 02 Sep 2025
Previous data suggest that Angiotensin system inhibitors (ASIs) may exert antitumor effects; however, the findings remain controversial. Therefore, th ...
Shuenqin Hu, Xiuying Li
REVIEW | 28 Aug 2025
Kidney cancer, particularly clear cell renal cell carcinoma (ccRCC), has emerged as a paradigm for cancer metabolic reprogramming, exhibiting distinct ...
Elena Tena Edo
REVIEW | 07 Aug 2025